Ever notice your teeth looking unusually yellow, sensitive, or prone to chipping? While coffee or brushing habits can play a role, sometimes the cause goes deeper. In rare cases, the issue begins during tooth development itself.
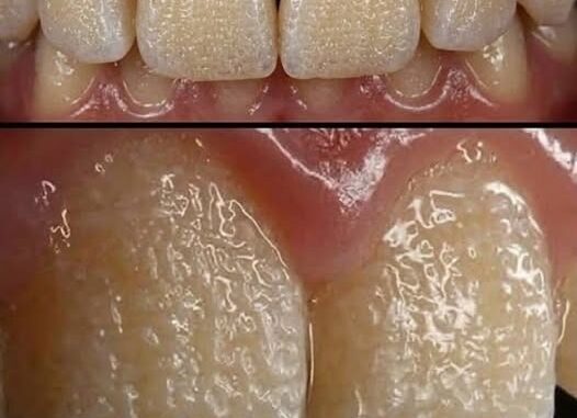
One possible explanation is Amelogenesis Imperfecta (AI), a genetic condition that affects enamel—the hard outer layer that protects teeth. When enamel doesn’t form properly, teeth can appear discolored, fragile, pitted, or unusually small.
Enamel is the hardest substance in the human body, created by specialized cells during early development. In AI, genetic mutations disrupt this process, leading to enamel that may be too thin, too soft, or poorly mineralized.
Because enamel protects the sensitive dentin beneath it, people with AI often experience discomfort with hot, cold, or sweet foods. Both baby and permanent teeth can be affected, and the condition cannot be reversed with whitening or routine brushing.
Beyond physical symptoms, AI can impact confidence. Visible differences may cause self-consciousness, especially for children and teens. Ongoing dental work and sensitivity can also affect eating habits and daily comfort.
There are several types of AI. In hypoplastic AI, enamel is thin but hard. In hypomaturation AI, enamel forms at normal thickness but is softer than usual. Hypocalcified AI involves enamel that is fragile and wears away quickly. The condition can run in families.
Diagnosis typically involves dental exams, X-rays, and sometimes genetic testing. Early identification allows dentists to protect teeth before significant wear or damage occurs.
Treatment focuses on strengthening and protecting teeth. Options may include crowns, bonding, veneers, fluoride treatments, and desensitizing products. With modern dental care and early intervention, individuals with AI can maintain healthy, functional smiles and live confidently without letting enamel differences define them.